Легкие вина доставляют больше удовольствия
Всякий тренд имеет первопричину и мода на малоалкогольные вина — не исключение. Она имеет вполне серьезное научное объяснение.
Мода на низкоалкогольные вина продиктована не только желанием части человечества поддерживать здоровый образ жизни, правильно питаться и исключить из ситуационного спектра «алкогольное опьянение». Исследование ученых Баскского центра познания, мозга и языка (BCBL), расположенного в Сан-Себастьяне, показало, что от вин с меньшей крепостью мозг получает больше «удовольствия».
Доклад, опубликованный в международном междисциплинарном научном журнале Plos One, был подготовлен исследователем BCBL Рамом Фростом при поддержке Баскского кулинарного центра. С помощью данного проекта Фрост стремился дать объективный ответ на вопросы о привычках потребителей. Для этого исследователь уделил особое внимание крепости напитков.
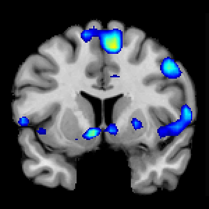
С целью изучить реакцию головного мозга в зависимости от градуса вина Фрост использовал магнито-резонансный томограф и провел специальный анализ мозговой активности с участием 20 добровольцев. По условиям теста, добровольцы должны были продегустировать 8 сортов вина, сгруппированных по две порции. Им нужно было попробовать два вида вин из одного и того же сорта винограда, имеющих аналогичное происхождение, уровень кислотности и содержание сахара. Единственное различие заключалось в уровне алкоголя — в одном он был выше, чем в другом.
После дегустаций исследователи проанализировали реакцию мозга и пришли к выводу, что он активнее реагирует на менее крепкие напитки. Оказалось, что при употреблении вин с низким содержанием алкоголя мозг лучше реагирует на такие параметры, как аромат, запах и вкус вина.
Доклад, опубликованный в международном междисциплинарном научном журнале Plos One, был подготовлен исследователем BCBL Рамом Фростом при поддержке Баскского кулинарного центра. С помощью данного проекта Фрост стремился дать объективный ответ на вопросы о привычках потребителей. Для этого исследователь уделил особое внимание крепости напитков.
С целью изучить реакцию головного мозга в зависимости от градуса вина Фрост использовал магнито-резонансный томограф и провел специальный анализ мозговой активности с участием 20 добровольцев. По условиям теста, добровольцы должны были продегустировать 8 сортов вина, сгруппированных по две порции. Им нужно было попробовать два вида вин из одного и того же сорта винограда, имеющих аналогичное происхождение, уровень кислотности и содержание сахара. Единственное различие заключалось в уровне алкоголя — в одном он был выше, чем в другом.
После дегустаций исследователи проанализировали реакцию мозга и пришли к выводу, что он активнее реагирует на менее крепкие напитки. Оказалось, что при употреблении вин с низким содержанием алкоголя мозг лучше реагирует на такие параметры, как аромат, запах и вкус вина.